2021年10月16日 星期六

mRNA疫苗與腎病癥候群

 轉載自榮總李偉平醫師部落格"人生沒有用不到的經歷"


/tmp/phppuNfZG  
打mRNA疫苗會讓腎臟細胞表現Spike protein,成為CTL(CD8+ T cell)攻擊的目標(Target cell),版主用下面的病例來說明:
https://www.ajkd.org/article/S0272-6386(21)00509-6/fulltext#relatedArticles
50
歲健康以色列男性,打疫苗前10個月曾抽血Creatinine(Cr) 0.78 mg/dL(正常)。注射Pfizer-BNT疫苗(day 0)四天後出現水腫,十天後(day 10)住院診斷為腎病癥候群(Minimal change nephrotic syndrome)-腎絲球病變 + Acute kidney injury-腎小管病變,血中的Cr(正常小於1 mg/dL)與Albumin(白蛋白,正常大於4.0 g/dL)如下圖:
/tmp/phpD60enP  
住院(day 10)後,他於Day 13開始服用Prednisolone,Cr最高是6.6 mg/dL。Day 18利尿期開始(因腎小管再生),Cr降至1.25 mg/dL,治療完成抽血腎功能 Cr 0.97 mg/dL,Albumin 3.2 g/dL。

他於Day 14做腎臟切片,光學顯微鏡下看到24顆腎絲球,其中1顆已硬化(Global sclerosis),其它腎絲球巨觀下正常,但電子顯微鏡下包圍微血管腔的Podocyte的觸腳(Foot process)已磨損(Effacement)。

/tmp/phpKyT8GO  
圖一: 他的腎絲球在光學顯微鏡巨觀下正常

腎絲球的電子顯微鏡比較難理解,版主先用下圖來解釋Podocyte的病變
/tmp/phpITtTWh  
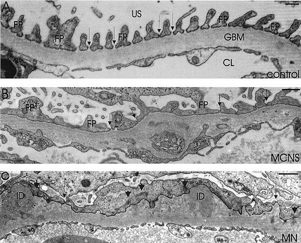
圖二: A: 正常的腎絲球基底膜(Glomerular basement membrane, GBM)有Podocyte的觸腳(Foot process, FP)。US: Urinary space(濾尿空間)。CL: Capillary lumen(微血管腔)。US與CL都很乾淨。
B: Minimal change nephrotic syndrome (MCNS),FP變粗且有磨損,US與CL裡面出現雜質,是死亡脫落的細胞。
C: Membranous glomerulopathy(MN),FP已磨平,US與CL裡面有死亡細胞的雜質。ID:Immunocomplex deposition
https://www.nature.com/articles/pr2002188

/tmp/phpQWSLVC      
圖三:他的腎絲球電子顯微鏡顯示Podocyte的Foot process已磨平(黃箭頭),CL內充滿死亡的細胞空泡,US變寬。正常的腎絲球電子顯微鏡如下:

/tmp/php4EhsBS    
圖四: 正常的腎絲球電子顯微鏡圖,CL內很乾淨,US很窄。US內部GBM上的Foot process十分明顯。

Podocyte是高度分化的細胞,可包住微血管腔,防止血流經過時蛋白濾進Urinary space而流失。Podocyte一旦死亡,無法再生,其空間由腎絲球幹細胞增生來填補,就像塞棉花一樣(圖四),防漏功能當然不好,但腎臟仍湊合能用。


/tmp/phplE5fTE  
圖五: 腎絲球幹細胞增生填補死亡的Podocyte,A: Podocyte死亡太多,幹細胞分化成上皮細胞大量填補Podocyte的空位。B: Podocyte死亡少,幹細胞分化成上皮細胞漸進式填補Podocyte的空位。
https://jasn.asnjournals.org/content/21/10/1612

結論:這病例打疫苗造成的Minimal change nephrotic syndrome,Podocyte死亡相當嚴重,腎功能恢復(Cr 0.97 mg/dL,Albumin 3.2 g/dL)不代表腎臟恢復正常,只是靠填棉花的方式防漏而已。他的腎小管細胞大量死亡(Acute kidney injury)是造成Cr爬升至6.6 mg/dL的主因,但腎小管細胞可再生,因此治療後,腎小管新生,經過利尿期,Cr恢復正常,他若再做一次腎臟切片,腎絲球會出現上皮細胞填棉花的現象。

Pubmed有更多打mRNA疫苗之後的腎臟病變。
https://www.ajkd.org/article/S0272-6386(21)00509-6/fulltext#relatedArticles
文章底部Related articles,有發表在AJKD的病例。

從Kidney International期刊的Case report下方去找也有不少病例
https://www.sciencedirect.com/science/article/pii/S0085253821004932?via%3Dihub

任何疫苗都可能引發Minimal change nephrotic syndrome,滅活與次單位疫苗的T cell機轉是誘導一種CTL誤把腎絲球胞膜上的HLA(I)-peptide(Self)視為Non-self而攻擊之,B cell機轉是誘導出自體抗體攻擊腎臟細胞,但發生機率都極低。mRNA疫苗是直接把外來抗原Spike protein表現在腎臟細胞,用免疫學的基本原理就可預知CTL對腎臟一定會造成傷害,當傷害大到某個程度,就會發生水腫及蛋白尿。

沒有留言:

張貼留言